Como aproveitar o poder do Graviola Prozono para pacientes BRCA
Se você é um paciente BRCA procurando uma maneira natural de melhorar sua saúde, vale …
Como aproveitar o poder do Graviola Prozono para pacientes BRCA Mais informação »
Se você é um paciente BRCA procurando uma maneira natural de melhorar sua saúde, vale …
Como aproveitar o poder do Graviola Prozono para pacientes BRCA Mais informação »
O câncer é uma das principais causas de morte em todo o mundo, sendo o …
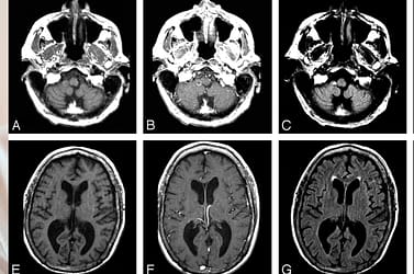
Se você ou um ente querido foi diagnosticado com melanoma cerebral em estágio 4, você …
Tratamento Natural de Melanoma Cerebral em Estágio 4 com Metástase Mais informação »
É fácil encontrar escritos sobre como a graviola ajuda a dormir. Nas Índias Ocidentais, as …
Será a Graviola o remédio natural para um sonho perfeito? Mais informação »
O nosso site foca-se em apresentar todas as informações possíveis sobre a graviola e as …
1º Graviola Prozono com telomerase Com tecnologia Imunoterapia-Tech Certificado – 10/10 Conveniência – 9/10 Fórmula …
Pessoas que sofrem com os efeitos debilitantes da fibromialgia podem ter uma nova oportunidade de …
Nesta página explicaremos e forneceremos a informação mais útil para comprar graviola em Espanha e …
A graviola é muito popular devido aos seus múltiplos e maravilhosos efeitos na saúde. O …
Os habitantes da selva amazónica e seus arredores consideram o extrato de Graviola um remédio …
Extrato de Graviola: os seus benefícios para a saúde Mais informação »
![]()